2025版中国药典标准菌种确认解决方案-白色念珠菌
发布时间:2026-01-04 浏览次数:436 分享:
随着2025版《中国药典》的颁布和实施,对制药企业微生物检验人员的技术能力提出更高要求,且菌种确认和鉴定也成为了大家极为关注的焦点。
因此,环凯依据《中国药品检验标准操作规范》、2025版《中国药典》四部通则9204 微生物鉴定指导原则和《伯杰氏系统细菌学手册》现行版,给大家提供菌种确认的整体解决方案。
白色念珠菌CMCC(F)98001菌种确认试剂(参考2019中国药品检验操作规范)
产品名称 | 货号/ 规格 | 备注 | 白色念珠菌的特征 | |
念珠菌显色培养基 | CRM023 1000mL,干粉 | 用于白色念珠菌纯度和菌落特征确认。 | 白色念珠菌 菌落均为绿色 | |
念珠菌显色培养基(2025年版药典)-广东环凯微生物 https://www.huankai.com/show/67688.html | ||||
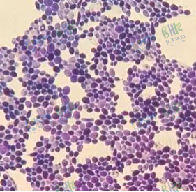
革兰氏染色液 | 029010 10ml×4瓶 | 用于显微形态确认。 | 呈卵圆形,很象酵母菌,比葡萄球菌大5~6倍,革兰氏染色阳性,但着色不均匀 | |
革兰氏染色液-广东环凯微生物 https://www.huankai.com/show/21027.html | ||||
1%聚山梨酯80-玉米琼脂培养基 | 021105 250g,干粉 | 用于白色念珠菌芽管生长特性确认 | 挑取1%吐温80-玉米琼脂培养基上的培养物,接种于加有一滴血清的载玻片上,盖上盖玻片,置湿润的平皿内,置 35~37°、1~3 小时,置显微镜下观察,可见到由孢子长出短小芽管 | |
1%聚山梨酯80-玉米琼脂培养基配套试剂 | SR0410 10mL/瓶 | |||
小牛血清 | —— | —— | ||
1%聚山梨酯80-玉米琼脂培养基-广东环凯微生物 https://www.huankai.com/show/20409.html
结论:标准菌株CMCC(F)98001经上述试验确认符合白色念珠菌的特性。
